



Released
Test Tube Babies
200653mDocumentary

Overview
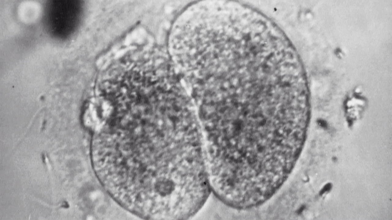
The world's first successful in-vitro fertilization takes place in Great Britain resulting in a live birth on July 25,1978.
Created By
Chana Gazit





The world's first successful in-vitro fertilization takes place in Great Britain resulting in a live birth on July 25,1978.